Ergebnisse
In den USA sind bereits mehrere Hundert SpineMED® Geräte im Einsatz und haben gute Erfolge gezeigt. Auch in Deutschland sind schon über 30 Geräte und beispielsweise in Südkorea über 80 im Einsatz. Viele Patienten sind heute absolut schmerzfrei.
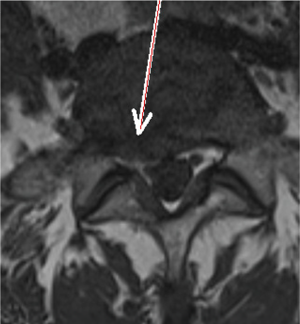
Die folgenden MRT Bilder stammen von einem Patienten mit Bandscheibenvorfall L5/S1. Der Patient ist vorher mehrere Monate arbeitsunfähig gewesen und wurde mit diversen konventionellen Verfahren erfolglos behandelt. Als nächster Schritt wäre eine OP angestanden, die mit der SpineMED® Therapie verhindert werden konnte. Sollten Sie Fragen haben, zögern Sie nicht uns zu kontaktieren, wir bemühen uns um einen Zeitnahen Termin für Sie, und beantworten alle Fragen gerne.
Vor Spinemed
Nach Spinemed
